+919994972227
Currently it only shows your basic business info. Start adding relevant business details such as description, images and products or services to gain your customers attention by using Boost 360 android app / iOS App / web portal.

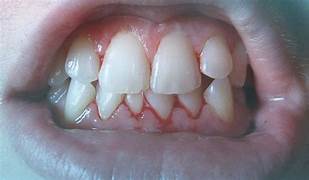
Iswarya siddha hospital tiruppur best in treating gingivitis